李婆婆半年前查出右上牙龈癌,经过手术切除病灶后,术后李婆婆失去右上颌部分组织,张口受限,发音也变得不清楚,日常说话,其他人难以理解,还不能正常饮食,只能进食流食或使用吸管。
在主刀医生的推荐下,李婆婆找到了西南医科大学附属中医医院口腔科罗艳燕副教授。结合李婆婆的具体情况,罗艳燕副教授建议李婆婆通过颌面赝复体治疗,解决其口腔颌面部组织缺损的问题。

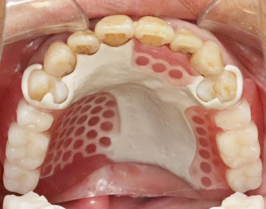
颌面赝复体
“不仅修功能,更‘补’自信”
但由于李婆婆当时张口受限较严重,不足以完成口内取模,便指导李婆婆进行了张口训练。三个月后,李婆婆的张口度达到三指,能够配合罗医生完成口内取模。完成取模后,罗艳燕副教授立即开始着手为李婆婆“定制”颌面赝复体。
一周后,建立咬合关系、试排牙(将牙齿排列于正常咬合位置,进而使咀嚼功能恢复正常)……一系列操作后,定制的颌面赝复体被“正正好”地佩戴在李婆婆口内。经过一段时间的适应,李婆婆恢复了正常的面容,也能正常说话及进食了。
“不止救命,更要体面生活。口腔癌术后,颌面赝复体治疗能帮患者找回笑容与尊严。”


颌面赝复体治疗,是针对口腔颌面部组织缺损的修复方法,主要应用于肿瘤切除术后、创伤及先天发育不足导致的缺损患者。该技术通过定制个性化赝复体,恢复患者颌骨支撑功能及颜面器官形态,修复范围涵盖下颌骨、上颌骨缺损,能有效改善患者咀嚼、语言功能,同时通过修复容貌缺陷,帮助患者重建社交信心。

赝复体修复不仅是患者生理功能的重建,更是患者重返社会生活的桥梁。随着数字化技术与固位设计的进步,赝复体的个性化适配性将持续优化,为患者提供更全面的康复保障。