六月初,李某在干活时不慎被切割机割伤右手掌。瞬间,剧痛袭来,鲜血止不住地涌出,右手掌完全离断。
突如其来的重创让李某惊慌失措,在剧痛与恐惧中,他深知时间的宝贵,为了能得到及时救治,立刻赶往西南医科大学附属中医医院急诊科。
急诊科医生见状,不敢有丝毫耽搁,迅速为李某进行了简单的包扎止血处理。随后,李某以“右手掌创伤性切断”被收入骨伤科手外・儿骨・烧伤整形组住院治疗。
病情就是命令,时间就是生命。李某入院后,医院第一时间为其开通了绿色通道,各个环节无缝衔接,为后续的救治争取了宝贵时间。骨伤科手外・儿骨・烧伤整形组副主任(主持工作)陈孝均副教授立即组织团队准备急诊手术。

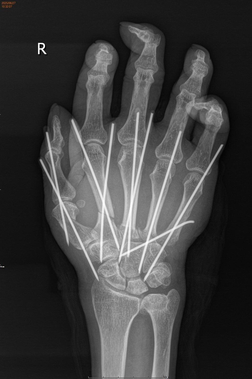
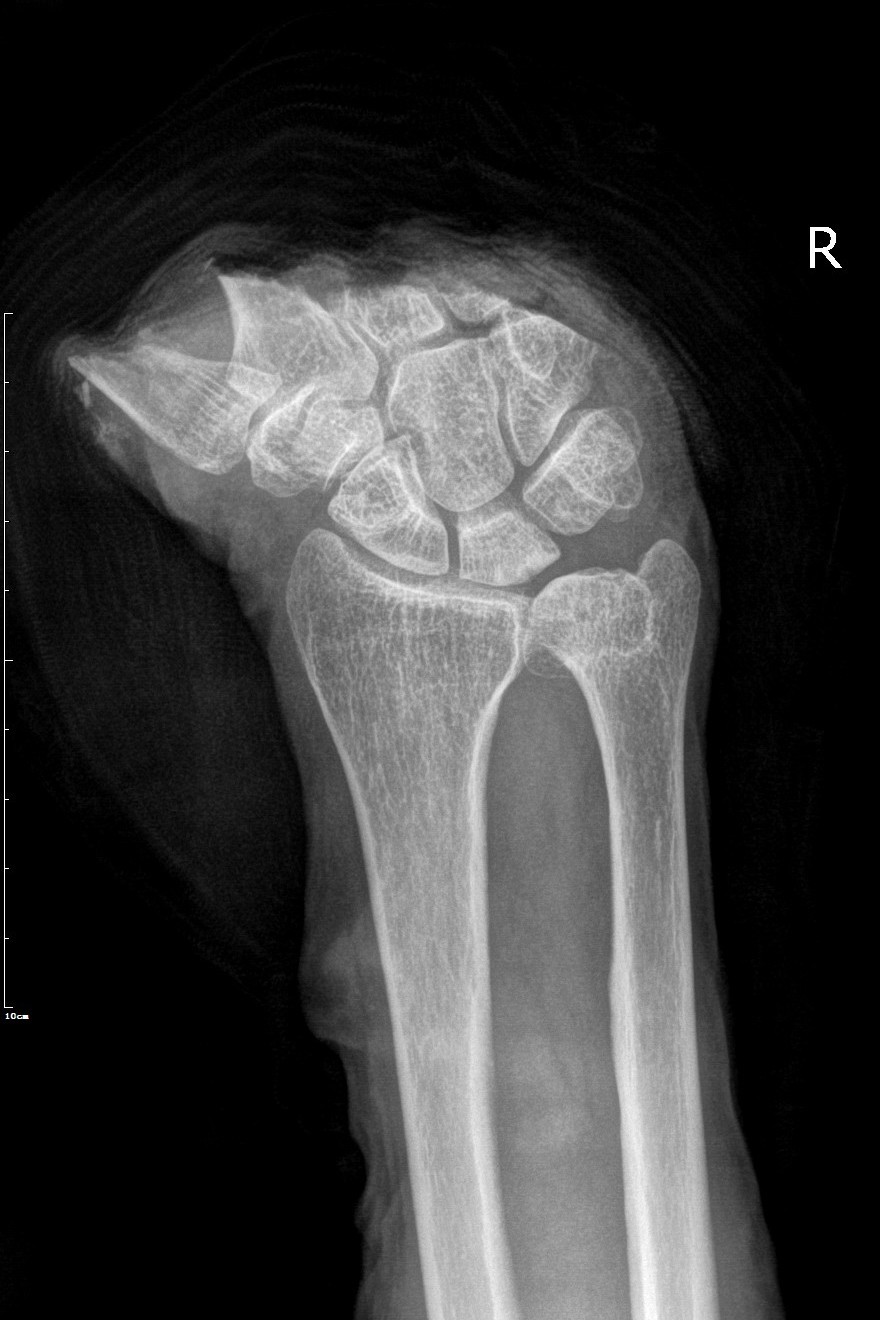
凭借丰富的临床经验和专业的医学知识,陈孝均带领团队很快确定了手术方案。在排除了相关手术禁忌后,一场与时间赛跑的“右手掌断肢再植术+游离前臂Flow-through静脉皮瓣修复手背创面+石膏外固定术”在臂丛麻醉下正式开始。
手术室内,医护人员全神贯注,每一个动作都精准而谨慎。他们小心翼翼地处理着受损的血管、神经和肌腱,努力将离断的手掌重新连接起来。


经过一番艰苦奋战,手术顺利完成,当看到断掌的血液循环逐渐恢复时,所有人都松了一口气。
患者术前、术后影像学资料
目前,李某正处于功能恢复阶段。医护人员会根据他的恢复情况,制定个性化的康复计划,帮助他尽快恢复右手的功能,重新回到正常的生活和工作中。