“医生,我爸这咳嗽、咯痰总不好,还喘得厉害,这几天胸口上还长出个包块……”,71岁的王大爷被家人搀扶着走进西南医科大学附属中医医院呼吸内科诊室,脸色萎黄,走两步就喘得直扶墙。谁能想到,这个看似普通的“咳嗽、咯痰”,背后藏着一种少见病,而医生们花了近1周时间,才一步步揭开真相。

怪病:咳嗽5年,胸壁还长出个包块
王大爷是泸州叙永人,常住新疆。5年前他开始反复咳嗽、咳痰,偶尔痰里还带血,当地医院考虑“肺结核”,开了抗结核药,吃了1个月,他觉得咳嗽好些了,就自行停了药,但仍偶有咳嗽、咯痰,间断口服止咳化痰药治疗。
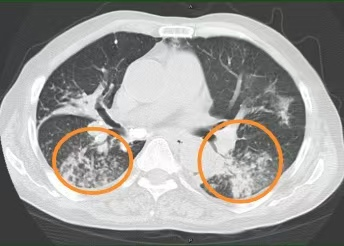
没想到2个月前,王大爷突然开始喘息、气促、胸闷,甚至走几步路都觉得很累,不得不停下休息,慢慢地生活不能自理,连吃饭也没胃口,体重下降。3周前咳嗽、咯痰更重了,咯的全是黄稠痰。在当地医院住院,胸部CT提示:左肺下叶炎症并部分肺实变、右肺中叶部分支气管扩张,经抗感染、吸氧等治疗后一点没缓解。
“再这样下去不行!”,家人带着王大爷回到泸州,直奔西南医科大学附属中医医院。入院时,王成医生查体发现了一个奇怪的现象:王大爷右侧胸壁有个10cm×3cm的包块,一按就疼。“肺里的问题还没解决,胸壁又长个包块,这绝不是普通肺炎。”呼吸内科王成医生心里打了个问号。
反常:抗生素竟然没起效
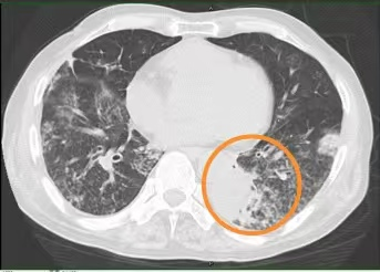
入院后,医生给王大爷用了抗感染、止咳化痰、营养支持等治疗,可3天过去,王大爷喘息、气促、咳嗽、咯黄痰仍没缓解,胸壁包块也没缩小,包块局部触摸还有波动感。复查胸部CT提示:双肺多发结节影、磨玻璃影、斑片影,部分见肺实变影,部分支气管牵拉扩张,左肺下叶部分支气管闭塞。
“不对劲,普通细菌感染用这些药早该起效了。”科室主任敖素华教授重新梳理病情,很快发现两个关键疑点:
第一,外院治疗半个月没好,入院治疗3天没效,感染没控制住,不像是普通细菌感染;
第二,胸壁包块很蹊跷,肺部感染很少会出现胸壁包块。
“必须搞清楚胸壁包块里是什么,感染的什么致病菌!”敖素华告诉主管医生。


破案:脓液里藏着“罕见凶手”
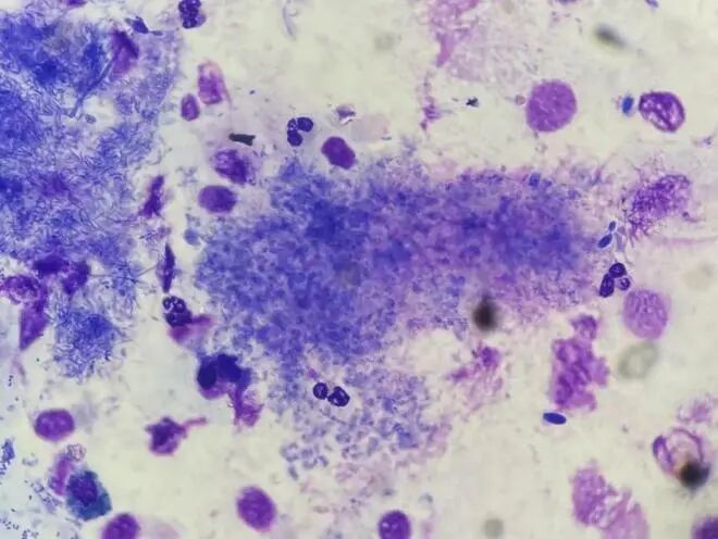
在超声引导下,王成医生用细针穿刺王大爷的胸壁包块,抽出了白色脓液。
胸壁包块抽出的脓液送去检验科,第二天,检验科传来消息:“涂片里看到了诺卡菌!”。这个结果让团队既兴奋又警惕,诺卡菌是一种较为罕见的致病菌,除了引起肺诺卡菌病,还能播散至皮肤、脑、肾、肝、脾、骨等器官引起脓肿或感染。接着痰培养结果也出来了,查见豚鼠耳炎诺卡菌!
最终诊断明确:肺诺卡菌病、播散性诺卡菌病。
“终于找到凶手了!”敖素华教授立刻调整治疗方案,用上了针对诺卡菌的抗生素。用药1周后,王大爷的咳嗽明显减轻,黄痰减少,胸壁的包块慢慢缩小,2周后复查CT提示双肺炎症减少。
