技术简介:骨折手法整复是指医者用指、掌、腕及臂的劲力,结合身功辅以器械,随症运用各种技巧,作用于患部,整复骨折移位的一种治疗方法。基本手法包括:手摸心会、拔伸牵引、旋转屈伸、提按端挤、摇摆触碰、夹挤分骨、折顶回旋、推拿按摩。骨折手法整复后再外敷传统中药制剂,杉树皮小夹板固定患处,达到治疗骨折的目的。
适应症:适用于四肢各种骨折。
特色优势:具有骨折恢复快、功能恢复佳、固定材料易得、治疗费用低、无手术并发症等优势。截止目前,我院治疗此类患者年均人次大于1000余例/年。
咨询电话:0830-3162209

复位桡骨远端骨折临床示教

杉树皮小夹板制作过程展示



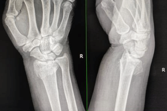
复位前外观及X片



骨折手法整复、小夹板固定、固定后外观及复查X片





3个月功能情况及复查X片