神经介入诊疗技术
技术特色:神经介入诊疗技术,是一种新型的微创临床技术,为许多脑与脊髓血管疾病开辟了新的思路和治疗途径。它是在数字减影血管造影(DSA)系统的支持下,采用血管内导管操作技术,通过选择性造影、栓塞、扩张成形、机械清除、药物递送等具体方法,对累及人体神经血管系统的病变进行诊断和治疗。具有创伤小、并发症少、疗效显著、见效快等特点。
适应症:
1.经桡动脉脑血管造影术
全脑血管造影能够显示从主动脉弓到颈部、脑部的所有大血管、毛细血管的详细动态图像,从而指导头颈部血管疾病的药物、介入或外科手术治疗。其检查结果优于“磁共振血管成像(MRA)”和“CTA”,是脑血管病变检查的“金标准”。经桡动脉脑血管造影,优于传统的从股动脉入路进行脑血管造影。具有创伤小、时间短、安全性高、并发症少、痛苦小、恢复快等优点。术后患者即可以下床活动。

2.急性脑梗死
急性脑梗死是脑卒中的主要类型,具有发病率高、病死率高、致残率高、复发率高的特点。急诊脑血管介入取栓(支架机械取栓、血栓抽吸等)及溶栓治疗,是快速开通血管,挽救急性脑梗死患者神经功能及生命的有效手段,可显著降低致残率及病死率。



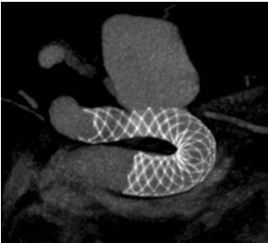
3.颈部和颅内动脉血管狭窄
最主要的病因是动脉粥样硬化。主要包括颈内动脉狭窄、大脑中动脉狭窄、椎动脉狭窄或者基底动脉狭窄等,常见的后果便是发生缺血性脑卒中。脑血管介入治疗(球囊扩张术、支架成形术等),就是通过股动脉将球囊送至狭窄部位,扩张球囊,再根据血管状况决定是否放置支架,即可将已呈现硬化、狭窄的动脉撑开,从而达到改善脑血流的治疗目的。


4.颅内动脉瘤
颅内动脉瘤是导致蛛网膜下腔出血的主要因素之一。脑动脉瘤的产生,是由于脑动脉壁先天性缺陷和血管腔内压力增高,在血流不断冲击的情况下,血管壁出现了气球状的隆起,因形似肿瘤,被称为动脉瘤。经股动脉穿刺,采取动脉瘤弹簧圈栓塞术、血流导向密网支架植入术,具有手术创伤小,手术时间短,并发症少,术后恢复快,动脉瘤复发率低等特点。





神经内科电话:0830-2583658;卒中急救电话:15775225398
神经外科电话:139 8271 7892