介入诊疗技术
技术简介:介入诊疗技术是在数字减影血管造影机(DSA)、CT、超声和磁共振等影像设备的引导和监视下,利用穿刺针、导管及其他介入器材,通过人体自然孔道或微小的创口将特定的器械导入人体病变部位进行微创治疗的一系列技术的总称。介入诊疗技术分为血管性介入技术和非血管介入技术。治疗心绞痛和急性心肌梗死的冠状动脉造影、溶栓和支架置入就是典型的血管性介入治疗技术。对于肿瘤而言,特别是恶性肿瘤,肿瘤供血栓塞、供血动脉内注入化疗药物,让肿瘤细胞“饿死”“毒死”,亦是典型的血管性介入治疗技术。而肝癌、肺癌等肿瘤的经皮穿刺活检、消融、放射性粒子植入等则属于非血管介入技术。
技术优势:介入治疗全程在影像设备的引导和监视下进行,能够准确地直接到达病变局部,创伤小,具有准确、安全、高效、适应证广、并发症少等优点,现已成为部分疾病的首选治疗方法。
1.相较于内科治疗的疾病
介入治疗与内科治疗相比,其优点在于:药物可直接作用于病变部位,不仅可大大提高病变部位药物浓度,提高疗效,还可大大减少药物用量,减少药物对全身其他正常组织脏器的副作用。
2.相较于外科治疗的疾病
介入治疗相对于外科治疗优点在于:①它无需开刀,无创口或仅需几毫米的皮肤穿刺点,就可完成治疗,创伤小;②大部分患者只要局部麻醉而非全身麻醉,从而降低了麻醉的危险性;③对正常组织的损伤小、恢复快、住院时间短;④对于不能耐受手术的高龄危重患者或者无手术机会的患者,介入也能很好地治疗。⑤可重复性,介入治疗可反复多次对疾病进行处理。
自2009年起,西南医科大学附属中医医院放射影像科主任兼介入科主任斯光晏教授带领团队常规开展各项介入诊疗技术,年手术量2000余台次,已发展介入诊疗全覆盖,三四级手术等高难手术实力雄厚,治疗经验丰富。
适应证:
1.血管疾病方面:包括治疗血管狭窄和闭塞的经皮腔内血管成形术和血管支架置入术、治疗动静脉血栓的溶栓治疗、止血治疗(创伤出血、产后出血、静脉曲张等)、血管畸形以及动静脉瘘与血管瘤的栓塞治疗、预防肺栓塞的下腔静脉滤器、治疗肝硬化门静脉高压的经颈静脉途径肝内门体分流术(TIPS)技术、各种血管造影诊断、静脉采血诊断等。
2.肿瘤性疾病方面:包括肿瘤的供血动脉栓塞与药物灌注、外科术前栓塞肿瘤血管、肿瘤经皮穿刺活检、消融、放射性粒子植入等。
3.非血管介入方面:包括各种经皮穿刺活检术、各种非血管性腔道的成形术(包括食道、肠道、呼吸道、胆道等狭窄的扩张和支架)、实体瘤局部灭能术(经皮穿刺瘤内注药术、消融术)、囊肿脓肿引流术、造瘘术(胃、膀胱等)、胆道结石推石术、骨转移或椎体压缩骨折的椎体成形术等。
咨询电话:0830—2523229
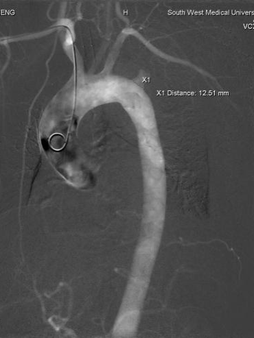
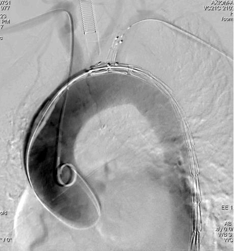
主动脉“修复”介入诊疗技术:
术前CT检查图:


手术中过程图:



术后CT复查图:

血管狭窄性疾病诊疗技术:


TIPS技术:




肿瘤诊疗技术:

止血技术:

