儿童骨折微创治疗技术
技术现状:骨折是儿童常见的外科创伤之一,其治疗及康复过程具有重要意义。儿童骨折类型与成人存在显著差异,其骨折类型分布因年龄、活动习惯、生长发育阶段而异。儿童骨折微创治疗技术包括:肱骨髁上骨折闭合复位经皮克氏针固定术、骨干骨折闭合闭合弹性髓内钉内固定术、股骨干骨折闭合复位青少年髓内钉内固定术等。西南医科大学附属中医医院骨伤科手外·儿骨·烧伤整形组陈孝均教授团队对于儿童骨折的微创治疗具有丰富的临床经验,采用小切口或者经皮插入髓内针来固定骨折部位,使其达到较好的复位效果,手术过程中对骨膜和软组织的破坏程度较小,有利于骨折的愈合。
技术优势:
1.相比于传统的开放手术,闭合穿针技术的切口小,对软组织的损伤小,术后恢复快;
2.髓内针固定能够提供稳定的固定作用,有助于骨折部位的复位和愈合;
3.并发症风险较低:由于手术创伤小,术后感染、出血等并发症的风险相对较低;
4.早期功能锻炼:由于固定稳定,患者可以早期进行功能锻炼,有助于减少关节僵硬等并发症
适应症:
1.Ⅲ型肱骨髁上骨折,骨折断端已经完全移位,没有稳定性,几乎无骨膜,无皮质,骨折端几乎没有骨膜连接支撑,断端极度不稳定,保守治疗会导致骨折端畸形愈合,可能产生一系列后遗症及并发症,对儿童生长发育有比较大影响,因此需要手术治疗;
2.Ⅱ型肱骨髁上骨折,如果内侧端出现压缩或旋转移位,建议手术治疗,否则骨折愈合后容易出现肘关节内翻畸形,影响上肢外观及功能;
3.有些经过保守治疗,断端再次移位,效果不理想,造成骨折端对位对线不良,建议手术治疗,避免产生一系列并发症。
4.对于5~8岁患者且患者难以配合牵引治疗者,可考虑弹性髓内钉固定;
5.对合并血管神经损伤或者开发性骨折,在探查神经、血管或者清创时对骨折行内固定;
6.较大儿童骨折错位严重,牵引复位不满意,短缩超过两个厘米,可考虑行手术复位或者进行闭合的复位,固定治疗。有的因为骨折不稳定,需要切开内固定,现在广为临床应用的是钢板内固定和髓内钉固定;
7.合并颅脑损伤患儿,常出现惊厥,此时极易使闭合骨折变成开放骨折,将患肢进行坚强内固定是很必要的;
8.病理骨折:如成骨不全、骨纤维结构不良等,病理骨折可在早期做内固定。
咨询电话:0830-2523305
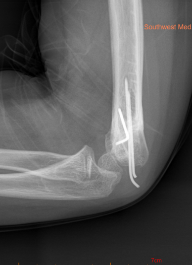
肱骨髁上骨折闭合复位经皮克氏针内固定术




股骨干骨折闭合复位弹性髓内钉内固定术



