五官科

当前您的位置: 科室导航 - 五官科 - 口腔科

口腔科简介

西南医科大学附属中医医院口腔科现有高级职称专家3人,主治医师3人,医师4人,硕士研究生4人,专科护士7人。科室拥有现代化牙科合治疗椅10台,CBCT机1台,数字化牙片机1台、根管治疗马达、先进的根管测量仪、牙种植设备、专科专业消毒设备等先进牙科设备。全面开展口腔内科、口腔外科、口腔修复科、口腔正畸科、口腔种植科、儿童牙科的诊治项目,包括儿童及成人的牙体牙髓病的治疗,各种复杂拔牙术,口腔颌面部肿瘤切除术,缺失牙的修复治疗,...

特色优势

特色技术

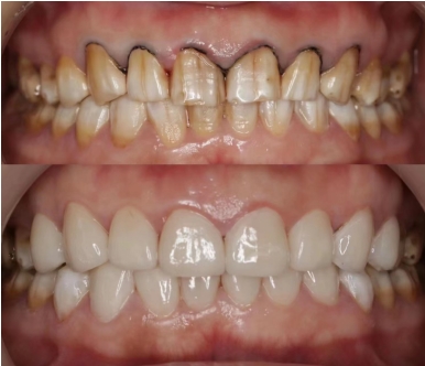
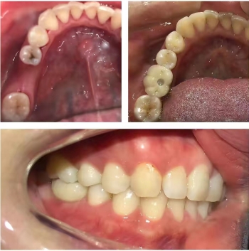
全面开展口腔内科、口腔外科、口腔修复科、口腔正畸科、口腔种植科、儿童牙科的诊治项目,包括儿童及成人的牙体牙髓病的治疗,各种复杂拔牙术,口腔颌面部肿瘤切除术,缺失牙的修复治疗,儿童及成人错合矫正,粘膜病的中药治疗等。根管治疗、美容超薄全瓷贴面修复、全瓷嵌体修复、全瓷冠桥修复、精品全瓷美容牙冠修复、黄牙和变色牙冷光美白、各型树脂材料牙体微创充填治疗、现代固定直丝弓矫治、自锁托槽矫治、吸附性义齿修复、隐形矫治、颌面部软硬组织损伤的专科处理,种植义齿修复等先进技术均成熟开展。

优势病种

儿童及成人的牙体牙髓病、各种复杂拔牙术、口腔颌面部肿瘤切除、缺失牙的修复、儿童及成人错合矫正等

院内制剂

口腔护理液